Uma mulher de 52 anos passou toda a sua vida vendo dragões em vez de pessoas devido a um raro transtorno mental
Durante mais de cinquenta anos, uma mulher nos Países Baixos conviveu com uma experiência que parecia saída de uma história fantástica. Sempre que olhava para alguém, os rostos humanos se transformavam em criaturas com escamas, olhos brilhantes e focinhos alongados. O que parecia um delírio, na verdade, era consequência de uma rara condição neurológica.
Desde a infância, ela acreditava que todos viam o mundo da mesma forma. Para ela, era comum que faces humanas se deformassem em versões assustadoras de dragões com olhos verdes, vermelhos ou amarelos. Apenas na adolescência percebeu que a experiência era exclusiva dela. O peso desse segredo foi grande, mas não a impediu de concluir seus estudos, formar uma família e trabalhar durante décadas como administradora escolar.
Manter conversas frente a frente era exaustivo, já que cada contato visual trazia deformações. Mesmo assim, a mulher seguiu sua rotina, consciente de que aquilo que via não era real. Além dos dragões, também enxergava rostos em locais vazios, sombras em movimento e até insetos gigantes caminhando sobre as mãos. Era como viver entre dois mundos: o real e um universo paralelo de ilusões.
O diagnóstico inesperado
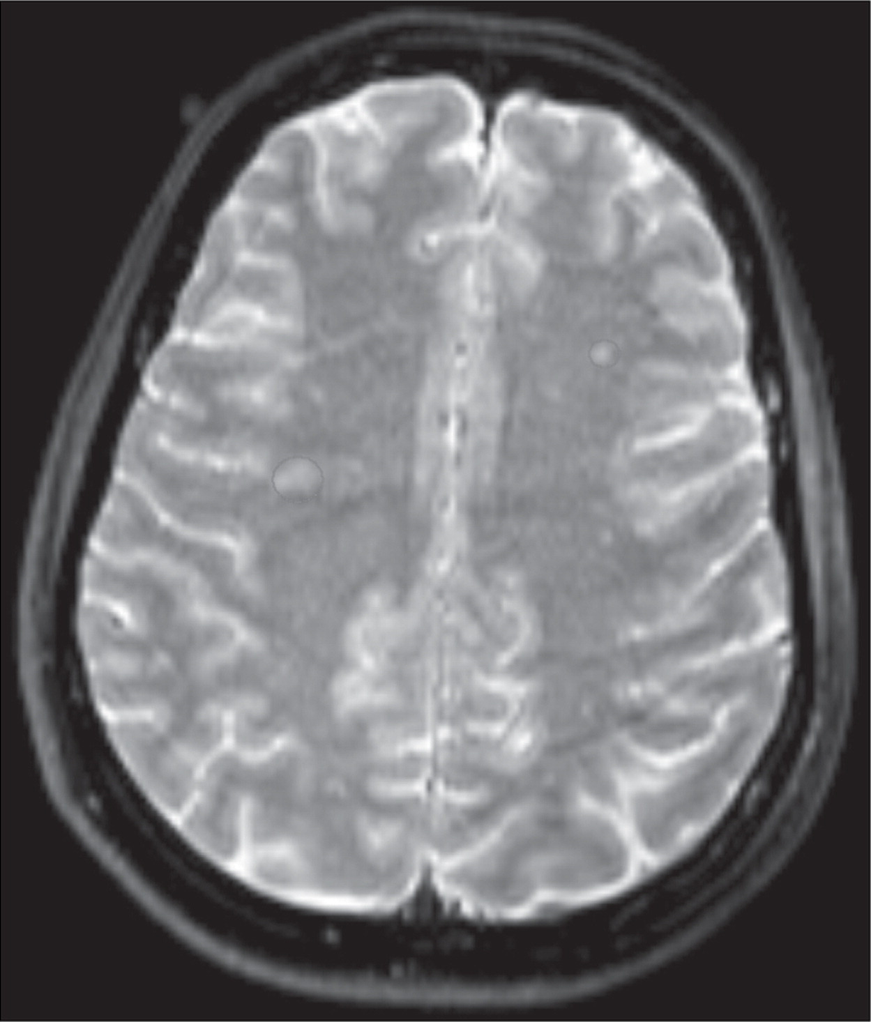
Ressonância magnética cerebral que mostra lesões de substância branca no centro semioval
Somente aos 52 anos ela decidiu procurar ajuda em uma clínica psiquiátrica em Haia. No início, os exames não mostraram anormalidades: sangue, eletroencefalograma e testes neurológicos pareciam dentro do esperado. Foi apenas por meio de uma ressonância magnética que surgiu uma pista. O exame revelou pequenas lesões na substância branca próxima ao núcleo lentiforme, região associada ao reconhecimento facial, à atenção e à memória.
Com esse resultado, os médicos chegaram ao diagnóstico de prosopometamorfopsia, uma condição neurológica extremamente rara que deforma rostos. Na maioria das vezes, o problema é temporário e está ligado a enxaquecas, epilepsia ou traumas cranianos. Mas, no caso dela, os sintomas estavam presentes desde sempre, o que tornava sua experiência única.
Pesquisadores levantaram a hipótese de que a causa estivesse em um déficit de oxigênio durante o parto, que teria afetado o desenvolvimento da sua região visual. Esse pequeno dano foi suficiente para alterar a forma como o cérebro processava os rostos humanos, transformando cada encontro em um desfile de criaturas fantásticas que só ela podia enxergar.
A história chegou até o famoso neurologista Oliver Sacks, conhecido por relatar casos médicos inusitados. Por meio dele, um grupo de especialistas holandeses publicou o relato na revista científica The Lancet, tornando a condição mais conhecida entre a comunidade médica.

A busca por tratamento
Com o diagnóstico em mãos, surgiu a possibilidade de tratamento. O primeiro medicamento prescrito foi o ácido valpróico, normalmente usado em casos de epilepsia. A medicação reduziu as alucinações, mas os efeitos colaterais — principalmente distúrbios do sono — prejudicaram sua qualidade de vida.
Em seguida, os médicos optaram pela rivastigmina, fármaco usado no tratamento da demência. O resultado surpreendeu: pela primeira vez, os dragões deixaram de dominar sua visão. Embora ainda aparecessem em alguns momentos, a intensidade diminuiu a ponto de permitir que ela retomasse sua rotina com mais tranquilidade.
Hoje, essa mulher continua trabalhando na mesma escola. As deformações faciais ainda surgem quando fixa o olhar por muito tempo, mas agora em intensidade muito menor. O que antes era um tormento constante tornou-se algo com que pode conviver sem grandes prejuízos.
O caso mostra como pequenas alterações no cérebro são capazes de mudar radicalmente a percepção do mundo. No dia a dia, os dragões ainda podem aparecer, mas já não são mais donos absolutos da sua visão da realidade.
Esse Uma mulher de 52 anos passou toda a sua vida vendo dragões em vez de pessoas devido a um raro transtorno mental foi publicado primeiro no Misterios do Mundo. Cópias não são autorizadas.
O que achou dessa notícia? Deixe um comentário abaixo e/ou compartilhe em suas redes sociais. Assim conseguiremos informar mais pessoas sobre as curiosidades do mundo!
Esta notícia foi originalmente publicada em:
Fonte original

