Implante ocular e óculos inteligente restauram parte da visão de pacientes cegos
Na última segunda-feira (20), pesquisadores da University College London (UCL) e do Moorfields Eye Hospital anunciaram resultados promissores de um ensaio que devolveu a visão parcial a pessoas que haviam perdido completamente a visão por causa da degeneração macular relacionada à idade. O estudo, publicado no The New England Journal of Medicine, mostra que o implante ocular PRIMA, em conjunto com óculos de realidade aumentada, permitiu que 84% dos participantes voltassem a ler letras, números e palavras.
- Terapia genética faz crianças cegas enxergarem pela primeira vez
- Com base em uma única imagem de retinografia, IA consegue diagnosticar glaucoma
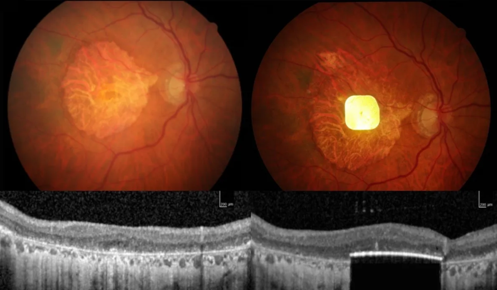
O dispositivo PRIMA é um microchip implantado sob o centro da retina, substituindo as células danificadas pela doença. Após a cirurgia, os pacientes utilizam óculos de realidade aumentada equipados com uma microcâmera e um computador portátil acoplado à cintura. A câmera captura o ambiente e envia sinais infravermelhos ao implante, que os transforma em impulsos elétricos. Esses sinais são transmitidos pelo nervo óptico até o cérebro, onde são interpretados como imagens visuais.
De acordo com o professor associado Mahi Muqit, da UCL Institute of Ophthalmology e consultor sênior do Moorfields Eye Hospital, “na história da visão artificial, isso representa uma nova era. Pacientes cegos conseguem ter uma restauração significativa da visão central, o que nunca havia sido feito antes.”
–
Entre no Canal do WhatsApp do Canaltech e fique por dentro das últimas notícias sobre tecnologia, lançamentos, dicas e tutoriais incríveis.
–
O estudo envolveu 38 pacientes em 17 hospitais de cinco países europeus. Todos haviam perdido completamente a visão central devido à condição degenerativa.
Volta parcial da visão

Após a reabilitação, os pacientes conseguiram ler, em média, cinco linhas de uma tabela, quando antes da cirurgia não conseguiam sequer enxergá-la. Nenhum apresentou piora na visão periférica.
Em comunicado, a britânica Sheila Irvine, uma das participantes do ensaio, descreveu a experiência como “emocionante”:
Antes do implante, era como ter dois discos pretos nos olhos. Quando comecei a enxergar uma letra novamente, foi incrível. Ler é entrar em outro mundo, e agora estou muito mais otimista.
O implante ocular é desenvolvido pela empresa Science Corporation (science.xyz), especializada em interfaces cérebro-computador e engenharia neural. Segundo Muqit, “recuperar a capacidade de ler melhora a qualidade de vida, o humor e a independência dos pacientes. Essa tecnologia é um divisor de águas na luta contra a cegueira causada pela degeneração macular.”
Leia também:
- Mutirão de cirurgia oftalmológica causa complicação em centenas em todo Brasil
- Problema perturbador de visão afeta 70% dos astronautas que vão a missões longas
VÍDEO | RAY-BAN META SMART GLASSES: VISÃO GERAL DO PRODUTO
Leia a matéria no Canaltech.
O que achou dessa notícia? Deixe um comentário abaixo e/ou compartilhe em suas redes sociais. Assim conseguiremos informar mais pessoas sobre as curiosidades do mundo!
Esta notícia foi originalmente publicada em:
Fonte original

